胃食道逆流與巴瑞特氏食道
年終將近,尾牙、聚餐、應酬接連不斷。大魚大肉、酒精、宵夜,再加上吃完後久坐聊天,不少人這段時間會開始出現胸口灼熱、反酸、喉嚨不適等情況,這些常被歸類為「胃食道逆流」。多數時候,這類不適只是暫時的,但如果長期反覆發生,就值得進一步了解食道黏膜是否已經出現變化。
為什麼食道會變成「腸子」?認識巴瑞氏食道
胃食道逆流(Gastroesophageal Reflux Disease,GERD)指的是胃內容物反覆往上刺激食道。短期逆流多半只造成黏膜發炎,通常可以透過藥物或生活調整改善;但若是長期、慢性的逆流,反覆刺激之下,食道下段的細胞可能會逐漸產生結構上的改變。其中一種我們特別關心的變化,稱為巴瑞特氏食道 (Barrett’s esophagus)。
正常情況下,食道內層覆蓋的是「鱗狀上皮細胞」。在長期胃酸刺激下,有些人的食道下段細胞會出現「轉型」,變成類似腸道的細胞,這種現象稱為 腸化生(intestinal metaplasia),也是巴瑞特氏食道最主要的病理特徵。
那什麼是「化生」呢?
簡單說,化生就是細胞「換工作內容」。
原本食道內層的細胞,主要負責承受吞嚥時的摩擦,並不適合長期接觸胃酸;但當胃酸反覆刺激、時間一久,這些細胞會「撐不住」,於是改變型態,變成比較能適應酸性環境的細胞,看起來就像腸道的細胞一樣。這種改變並不是突然變壞,也不是一夕之間變成癌症,而是細胞在長期刺激下的一種適應性改變。醫學上把這種「原本是一種細胞,後來變成另一種細胞型態」的過程,稱為「化生」。
也因為這代表細胞已經長期承受刺激,醫師才會特別留意這類變化,並視情況安排追蹤;是否需要追蹤、追蹤多久,則必須回到切片後的病理檢查結果來判斷。
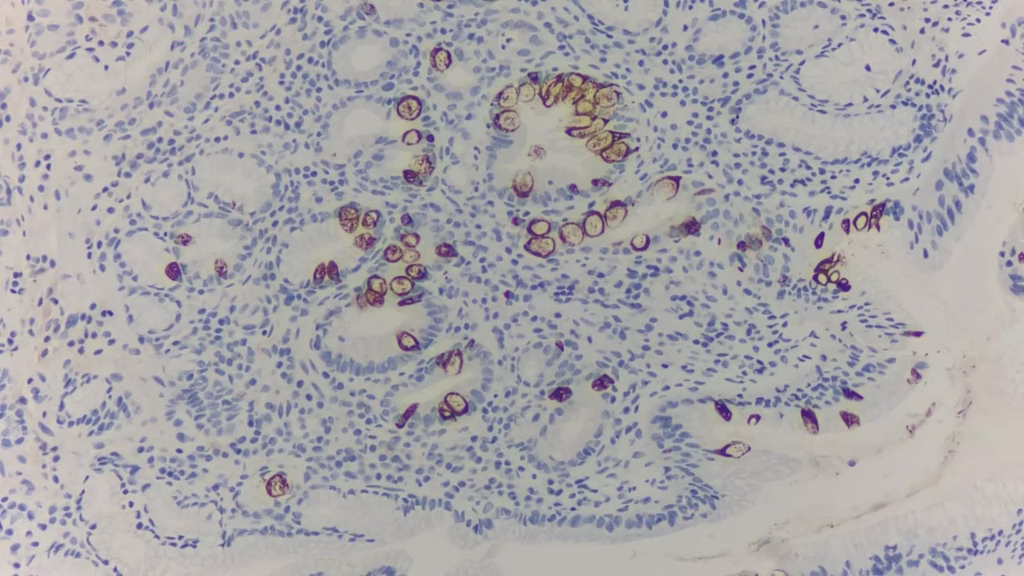
關鍵字解讀:您的病理報告說了什麼?
病理報告是診斷的「黃金標準」。當臨床醫師在做胃鏡時看到食道顏色改變(像鮭魚色的黏膜),會夾取一小塊組織送來病理中心。我們會在顯微鏡下確認細胞的型態。
若您在報告診斷欄(Diagnosis)看到以下關鍵字,請參照下表解讀:
- Intestinal Metaplasia(腸化生)
- 這是什麼意思: 這是巴瑞特氏食道最典型的病理特徵。病理醫師在顯微鏡下看到原本應該出現在腸道的「杯狀細胞(goblet cells)」,出現在食道黏膜中,代表食道細胞在長期刺激下產生了型態上的改變。
- 危險嗎: 腸化生本身還不是癌症,也不代表一定會變成癌症。它表示食道黏膜長期受到胃酸刺激,是一種需要追蹤的黏膜變化。是否需要定期追蹤,以及追蹤的頻率,需由醫師依病理結果與個人狀況來評估。
- Dysplasia(異型增生 / 細胞變性)
這是病理報告中最重要的字眼,決定了危險程度。
- Negative for Dysplasia(無異型增生):
雖然有腸化生,但細胞排列還算乖巧,尚未出現混亂或癌化的跡象。這是最常見的情況, 風險相對較低。
- Low-Grade Dysplasia(低度異型增生):
細胞開始長得有點奇怪,排列稍微混亂。這是一個明確的紅燈警訊,需要積極治療與密切追蹤。
- High-Grade Dysplasia(高度異型增生):
細胞已經長得非常混亂,距離食道腺癌僅一步之遙,通常被視為原位癌或極早期癌症的前兆,需要立即處理。
我該多久追蹤一次?(後續處置建議)
拿到報告後,請務必回診與您的肝膽腸胃科醫師討論。根據國際胃腸內視鏡學會與臨床共識,追蹤建議如下:
病理診斷結果 | 風險等級 | 建議追蹤頻率 |
巴瑞氏食道 + 無異型增生 (No Dysplasia) | 低 | 建議每 3~5 年進行一次高品質胃鏡追蹤。 |
巴瑞氏食道 + 診斷不明確(Indefinite for Dysplasia) | 中 | 因發炎太嚴重導致細胞看不清楚,建議治療逆流 3~6 個月後 重做胃鏡切片。 |
巴瑞氏食道 + 低度異型增生(Low-Grade Dysplasia) | 高 | 建議 6~12 個月 內追蹤,或考慮進行內視鏡電燒/切除治療。 |
巴瑞氏食道 + 高度異型增生(High-Grade Dysplasia) | 極高 | 需立即進行內視鏡切除手術或電燒治療,以免惡化為食道腺癌。 |
病理醫師的小叮嚀:
只有「病理切片」才能確診巴瑞氏食道。單靠胃鏡肉眼觀察雖然準確度高,但顯微鏡下的證據才是判定是否需要治療以及追蹤間隔的關鍵。
給民眾的健康建議
雖然聽起來很嚇人,但絕大多數的巴瑞氏食道患者不會變成食道癌。關鍵在於「阻斷發炎」。
- 控制飲食: 年末聚餐請避開過度辛辣、高油脂食物,減少酒精與咖啡因攝取。
- 生活習慣: 吃飽後不要立刻躺下(至少間隔 2-3 小時),睡覺時枕頭可稍微墊高。
- 定期服藥: 若有胃食道逆流症狀,請遵醫囑服用質子幫浦抑制劑(PPI),這有助於控制發炎,甚至可能讓部分腸化生逆轉。
年終聚餐是生活的一部分,胃食道逆流也相當常見。真正重要的不是偶爾不舒服,而是長期反覆的刺激,是否已讓細胞悄悄產生改變。內視鏡看到的是表面,病理看到的是「細胞真正發生了什麼事」。病理報告不是判決書,而是身體給您的健康提醒。看懂報告中的「腸化生」與「異型增生」,配合醫師定期做胃鏡追蹤,您依然可以安心享受美食與健康生活。
