我們的服務

提供病理診斷、細胞病理診斷、分子病理診斷以及病理諮詢

病理切片

pathoserv1

病理組織切片檢查

將組織經脫水浸蠟後,以石臘包埋後切成顯微薄切片,脫臘後以H&E染色,以供病理診斷。

組織化學染色檢查

利用各種細胞成分的化學特性,以適當抗體進行免疫組織化學染色,提供乳癌與胃癌Her-2 PD-L1、ALK、以及多項IHC檢測,作為輔助病理診斷的工具。

pathoserv3

冷凍切片診斷

利用急速冷凍檢體的方法進行快速切片,提供緊急病理診斷。

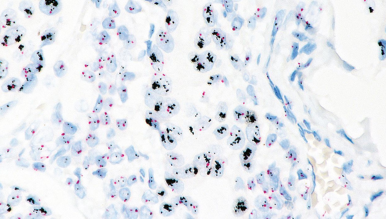
DISH染色檢查

利用石蠟包埋檢體進行免疫原位雜交(ISH)檢測。目前本實驗室提供 乳癌HER-2 DISH檢測。

細胞病理學

細胞學檢查

收集剝落到體腔或分泌物中的細胞,或以細針抽吸腫塊細胞,染色後進行細胞病理診斷。

分子病理

行動精準

分子病理檢查

以病人病理檢體分析特殊基因片段,作為診斷和治療參考。目前多用於偵測標靶治療相關基因的檢測,相關基因的檢測 (如PD-L1, ALK等)。

最新消息